顔面、顎、咬合、歯の医科・歯科の統合治療

顎変形症専門鶴木クリニック
 
受け口

理想の美人顔

正常咬合
オトガイ
Q&A
鶴木クリニックポリシー
リンク
ブログ

 

顎変形症の携帯サイトは
こちらから。


歯科三田会
鶴木本院 顎変形症治療流れ 顎変形症症例 アクセス・費用について ドクター 三田分院
鶴木クリニック本院

047-334-0030

三田分院
english



 

2003年 初版
2005/07/10改訂
2007/01/10改訂
2009/09/10改訂
2010/03/08改訂


    症例のプリント



 
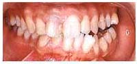
長顔症+下顎前突症+反対咬合+上顎歯列弓狭窄
 


上アゴが狭く、中顔面(目から上アゴまで)が長い。
上アゴの横幅を広げ、中顔面を短くしました。
修正した上アゴに下アゴの位置をあわせています。





 
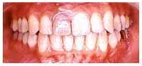
短顔症+顔面非対称+咬合平面異常+臼歯部開咬症+交叉咬合
 
顔面非対称改善の為に、顔面のより中心に位置する
上アゴから修正しています。 二回目の手術でオトガイ
形成を行い、顔面のバランスを整えています。
TOP

Dr

Tsuruki Clinic Homepageに記載されている内容の著作権は、全てTsurukiClinicに帰属します。
著作権法により、無断で転用、複製等することはできません。