顔面、顎、咬合、歯の医科・歯科の統合治療

顎変形症専門鶴木クリニック
 
受け口

理想の美人顔

正常咬合
オトガイ
Q&A
鶴木クリニックポリシー
リンク
ブログ

 

顎変形症の携帯サイトは
こちらから。


歯科三田会
鶴木本院 顎変形症治療流れ 顎変形症症例 アクセス・費用について ドクター 三田分院
鶴木クリニック本院

047-334-0030

三田分院
english



 

2003年 初版
2005/07/10改訂
2007/01/10改訂
2009/09/10改訂
2010/03/08改訂


    症例のプリント



 
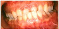
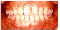
顔面非対称+咬合平面異常+反対咬合
 


上アゴが曲がっていた為に修正し、修正した上アゴと
しっかりと咬むように、下アゴを修正しています。

上顎:Le Fort I 型骨切り術      
下顎:下顎枝矢状分割法・オトガイ形成術





TOP


Dr

Tsuruki Clinic Homepageに記載されている内容の 著作権は、全てTsuruki Clinicに帰属します。
著作権法により、無断で転用、複製等することはでき ません。