顔面、顎、咬合、歯の医科・歯科の統合治療

顎変形症専門鶴木クリニック

 

矯正歯科の先生方へ
受け口

理想の美人顔

正常咬合
オトガイ
Q&A
鶴木クリニックポリシー
リンク
ブログ

 

顎変形症の携帯サイトは
こちらから。


歯科三田会
鶴木本院 顎変形症治療流れ 顎変形症症例 アクセス・費用について ドクター 三田分院
鶴木クリニック本院

047-334-0030

三田分院
english



2003年 初版
2005/07/10改訂
2007/01/10改訂
2009/09/10改訂
2010/03/08改訂






 
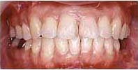
下顎前突症+反対咬合
 

下顎矢状分割術
上アゴの位置異常はなく、下顎の移動が無理なく行えたため 下顎
の手術だけで、顔の形と噛み合わせを改善することができました。





 
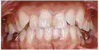
上顎前突症+下顎後退症+遠心咬合
 
上顎:Le Fort I 型骨切り術      
下顎:下顎枝矢状分割法・オトガイ形成術




 
上顎前突症+下顎前突症+開咬症
 
上顎:前方歯槽部骨切り術        
下顎:前方歯槽部骨切り術・オトガイ形成術
TOP
Dr
Tsuruki Clinic Homepageに記載されている内容の 著作権は、全てTsuruki Clinicに帰属します。
著作権法により、無断で転用、複製等することはでき ません。